Cabinet dentaire Dr Julien PALAU - Prothèse Dentaire et Esthétique Dentaire

 28 Bd Paul Peytral, 13006 Marseille, France
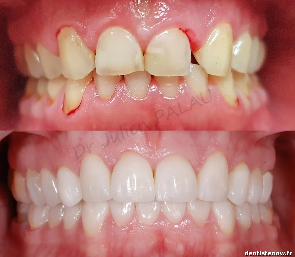
Imagen 1

Informations sur Cabinet dentaire Dr Julien PALAU - Prothèse Dentaire et Esthétique Dentaire

Vous souhaitez demander une modification ?
C'est votre entreprise ? Créez un compte gratuit pour gérer ses informations
 28 Bd Paul Peytral, 13006 Marseille, France  +33 4 91 33 78 60

Installé à MARSEILLE, notre Cabinet dentaire vous accueille pour tous vos soins et traitements concernant  l’esthétique dentaire, les prothèses dentaires, la parodontologie (soin des gencives) et les implants pour adultes.

Le Docteur Julien PALAU et son assistante vous souhaitent la bienvenue sur leur site Internet destiné à vous donner les meilleures informations pédagogiques et conseils sur votre santé bucco-dentaire.

Soucieux de rester à la pointe de la technologie afin de mieux vous soigner, notre Cabinet utilise les technologies les plus modernes. Notre plateau technique se compose notamment :

L’émail de la dent étant légèrement poreux, le tabac, le thé ou le café peuvent lui donner une coloration disgracieuse. Quelles solutions pour y remédier ?

Restaurez la beauté naturelle de vos dents en agissant sur leur teinte, leur forme, leur taille et leur alignement grâce à l’esthétique dentaire.

Restaurez la beauté naturelle de vos dents en agissant sur leur teinte, leur forme, leur taille et leur alignement grâce à l’esthétique dentaire.

Les facettes sont des revêtements très fins en céramique qui sont collés sur la face externe des dents pour retrouver un sourire harmonieux.

La dentisterie adhésive regroupe l’ensemble des traitements destinés à reconstruire ou embellir les dents grâce à des techniques de collage.

Les facettes sont des revêtements très fins en céramique qui sont collés sur la face externe des dents pour retrouver un sourire harmonieux.

La dentisterie adhésive regroupe l’ensemble des traitements destinés à reconstruire ou embellir les dents grâce à des techniques de collage.

Caractéristiques:

Toilettes accessibles en fauteuil roulant Toilettes Cartes de crédit Cartes de débit Rendez-vous recommandés

Services:

 Dentiste

Heures d’ouverture:

  • 24 Heures - Toujours ouvert

L'horaire pourrait ne pas être à jour. Contactez X pour vous en assurer.

Notre opinion depuis dentistenow.fr sur Cabinet dentaire Dr Julien PALAU - Prothèse Dentaire et Esthétique Dentaire

Le Cabinet dentaire Dr Julien PALAU est un établissement de soins dentaires qui offre une gamme de services, notamment en prothèse dentaire, esthétique dentaire et facette dentaire. Le cabinet est dirigé par le Dr Julien PALAU, qui est à la fois dentiste et prothésiste dentaire, ce qui lui permet de couvrir un large éventail de besoins en matière de soins dentaires.

Les patients qui ont consulté le Dr PALAU ont exprimé leur satisfaction quant à la qualité des soins qu'ils ont reçus. Ils ont apprécié la façon dont le Dr PALAU prend le temps de les écouter, de leur expliquer les traitements et de les rassurer. Les patients ont également souligné la compétence et la passion du Dr PALAU pour son métier, ce qui se reflète dans la qualité de ses travaux.

Le cabinet est équipé de matériel moderne et le Dr PALAU est à la pointe des dernières technologies en matière de soins dentaires. Les patients ont également apprécié la gentillesse et la disponibilité de l'assistante du Dr PALAU, Virginie, qui les a accueillis chaleureusement et a répondu à leurs questions de manière claire et concise.

En résumé, le Cabinet dentaire Dr Julien PALAU est un établissement de soins dentaires de haute qualité qui offre une gamme de services adaptés aux besoins de ses patients. Le Dr PALAU et son équipe sont dévoués à fournir des soins exceptionnels et à faire en sorte que les patients se sentent à l'aise et en confiance tout au long de leur traitement.

  dentistenow.fr ne peut garantir que les dentistes ou professionnels inclus dans cet annuaire disposent de toutes les certifications professionnelles, accréditations légales ou exigences réglementaires nécessaires pour exercer la médecine dentaire dans chaque région. Certains praticiens inscrits peuvent être de petits cabinets ou de nouveaux professionnels. Nous vous recommandons de toujours vérifier l'expérience, le professionnalisme et les documents du dentiste ou du cabinet avant toute consultation, traitement ou intervention.

Avis de Cabinet dentaire Dr Julien PALAU - Prothèse Dentaire et Esthétique Dentaire

4.5 (98 avis)

12 avis

0 avis

1 avis

2 avis

83 avis

Nehla Belkadi
il y a 5 mois -  1 (Expérience négative)

⚠️ Attention – expérience extrêmement douloureuse ⚠️ C’est la première fois de ma vie que je ressors traumatisée d’un rendez-vous chez un dentiste. Depuis toute petite, j’ai eu plusieurs soins dentaires et j’ai toujours été patiente, capable de supporter la douleur, mais cette fois-ci, c’est la pire expérience que j’ai jamais vécue. Je suis allée à ce cabinet pour un simple contrôle, et le dentiste a décidé de me faire un détartrage. Après cela, quelque chose s’est déclenché dans ma bouche – je ne sais pas si c’est lié à une incisive un peu déchaussée ou autre – et j’ai passé une semaine entière sans dormir à cause de douleurs atroces. Lorsque je suis retournée le voir, il n’a rien pu faire car, apparemment, il n’y avait pas d’inflammation visible. Pourtant, la douleur était bien réelle et insupportable. Même maintenant, un mois plus tard, je ressens encore des douleurs et je vais devoir passer des analyses approfondies pour comprendre ce qui a été causé. Je tiens à prévenir toutes les personnes qui envisagent de prendre rendez-vous : faites très attention avec ce dentiste. Mon expérience a été traumatisante, et je ne souhaite à personne de vivre ce que j’ai vécu.

 Réponse de Cabinet dentaire Dr Julien PALAU - Prothèse Dentaire et Esthétique Dentaire

Bonjour. Vous êtes revenu me voir car vous ressentiez de la douleur après un simple détartrage. J'ai fait un examen clinique, un scanner 3d, pas de carie, pas d'infection (et de toute façon ces choses là ne sont pas provoquées par un détartrage) je ne vois donc pas en quoi tout cela est lié. Si vous avez fait des examens chez quelqu'un d'autre et qu'il a un diagnostic, tenez moi au courant, ça m'intéresse. Heureusement que j'ai beaucoup de bons avis et des patients que je soigne, qui me font confiance et que je "réussi où d'autres échouent" (cf avis précédent). Navré votre mauvaise expérience. Cordialement. Dr Palau Julien

Antoine
il y a 6 mois -  5 (Expérience positive)

Au top, a réussi là où les autres ont échoué

Laurent THOMAZO
il y a 6 mois -  5 (Expérience positive)

Praticien très agréable, explique ce qu'il fait, écoute son patient. Le résultat est parfait en 3 consultations seulement (et pourtant il y avait du travail...). Son assistante est d'une extrême gentillesse. Je suis très satisfait d'avoir été soigné par Dr PALAU et son assistante.

Tris Tan
il y a 10 mois -  5 (Expérience positive)

Le Dr Julien Palau est un dentiste comme j’ai rarement vu : très pro, sympa et pédagogue. Il m’a posé des implants impeccables, dans un cadre ultra propre et moderne. Je recommande les yeux fermés !

Iris Labarutias
il y a 10 mois -  5 (Expérience positive)

Je suis allée consulter le Dr Palau pour un traitement par gouttières invisibles. C’est un excellent professionnel, tout comme Virginie. J’ai bénéficié d’un suivi personnalisé, attentif et très consciencieux. Je recommande sans hésitation !

aicha guebli
il y a 11 mois -  5 (Expérience positive)

Je suis très satisfaite de votre travail docteur Amsallem.merci beaucoup aussi pour votre Accueille.

Sarah Sastre
il y a 11 mois -  5 (Expérience positive)

Merci au docteur Julien Palau et Virginie pour leur accueil et leur professionnalisme

Csa Ho
il y a 11 mois -  5 (Expérience positive)

Je suis patient du Dr Palau depuis maintenant 3 ans. Bien que j’aie quitté Marseille il y a 2 ans pour m’installer à Paris, je continue à faire régulièrement l’aller-retour afin de terminer les soins que nous avons commencés ensemble. Cela en dit long sur la confiance que je lui accorde. Avant de le rencontrer, j'avais enchaîné plusieurs cabinets privés, accumulant frustrations, incompréhensions, manque de communication et un sentiment de découragement profond. Dès notre premier rendez-vous, le Dr Palau a pris le temps d’identifier tous les problèmes et de m’expliquer, de manière claire et détaillée, les différentes options de traitement. Ce qui m’a immédiatement marqué, c’est son approche humaine et pédagogique. Il allie rigueur scientifique et capacité à vulgariser, ce qui est rassurant pour un patient qui aime comprendre ce qu’on lui fait. Sa disponibilité, son humour et sa bienveillance ont transformé mon rapport aux soins. Grâce à lui, j’ai pu entreprendre et mener à terme un parcours de soins complet, en toute sérénité. Je tiens également à souligner le rôle essentiel de son assistante, qui contribue grandement à cette expérience positive. Elle est toujours accueillante, souriante et extrêmement professionnelle. Son organisation sans faille, sa réactivité pour les rendez-vous et sa gentillesse constante créent une atmosphère apaisante dès l’accueil. On sent une vraie cohésion dans ce cabinet, où l’on est considéré avant tout comme un être humain, pas juste un dossier médical. Merci beaucoup ! Charbel

Sarah CIARA
il y a 1 an -  5 (Expérience positive)

Après 1 an de soins chez le docteur Palau , il a su être à l’écoute à chaque détails et très minutieux dans son travail. Je suis sortie avec un sourire éclatant et magnifique grâce lui . J’ai retrouvé confiance en moi et un sourire comme j’aurais jamais pu espérer.Merci pour votre professionnalisme . Également un grand merci à Virginie pour son accueil chaleureux.

joelle maero
il y a 1 an -  5 (Expérience positive)

Très professionnel, résultats très satisfaisants ,équipe tres sympathique et très efficace. Je recommande

Magali
il y a 1 an -  5 (Expérience positive)

Depuis bientôt 5 ans le docteur Palaud est mon praticien ainsi qu à toute ma famille À plusieurs reprises il a su faire preuve de patience et de douceur accompagné par son assistante Virginie Il est disponible efficace et professionnel Merci à vous deux Je recommande le docteur Palaud

 Réponse de Cabinet dentaire Dr Julien PALAU - Prothèse Dentaire et Esthétique Dentaire

Merci pour votre chaleureux message. Par contre mon nom c'est Palau. Je sais qu'on ne se connait que depuis 5 ans mais tout de même 🤣

Eric Borchard
il y a 1 an -  5 (Expérience positive)

Monsieur Julien Palau a été très professionnel Tout est bien calculé, chaque rendez-vous est ponctuel, précis et surtout son acharnement à très bien faire les choses.Il m’a fait un travail très important 100% d’esthétique. J’ai vu plus de 10 dentistes avant lui mais c’est le seul qui m’a donné confiance au premier rendez vous. Il ne compte pas son temps pour arriver à l’excellence de son travail et surtout à mon attente. Je le remercie ainsi qu’à son assistante Virginie pour sa gentillesse et son calme. Je suis heureux du résultat Je vous le recommande très sincèrement et ce n’est pas de la plébiscité mais un VRAI et TRÈS BON TRAVAIL!!!! MERCI BEAUCOUP Docteur PALAU🙏.👍👍👍

 Réponse de Cabinet dentaire Dr Julien PALAU - Prothèse Dentaire et Esthétique Dentaire

Je suis honoré de tant d'éloges, merci pour votre confiance Monsieur.

Alisée Friedli
il y a 1 an -  5 (Expérience positive)

Après plusieurs années de gêne, je ressors enfin avec un sourire éclatant, et tout cela grâce à ce dentiste incroyable. Après plusieurs consultations auprès d'autres professionnels, il a su trouver LA solution parfaite pour moi, tout en m'expliquant chaque étape avec beaucoup de pédagogie et en me mettant en totale confiance. Son professionnalisme, son humour, et son attention ont transformé chaque rendez-vous en une expérience bien plus sympa qu’on ne l’imagine pour des soins dentaires. Mention spéciale aussi à Virginie, son assistante, toujours souriante et d'une grande gentillesse. Le résultat dépasse de loin mes espérances. Merci infiniment à vous deux, pour ce travail extraordinaire et cette bienveillance tout au long du processus ! 🙏

 Réponse de Cabinet dentaire Dr Julien PALAU - Prothèse Dentaire et Esthétique Dentaire

C'était un honneur de me voir confier votre sourire. Merci pour votre confiance !!!

Abira El yaagoubi
il y a 1 an -  5 (Expérience positive)

Marielle Chevrat
il y a 1 an -  5 (Expérience positive)

Je suis ravie par le résultat de mes gouttières. Le Dr Palau et son assistante sont formidables ! Très compétents, arrangeants et toujours dans la bonne humeur !

Eline Laureaux
il y a 1 an -  5 (Expérience positive)

J’ai pris un rendez-vous en urgence pour une dent cassée et le travail réalisé est incroyable. Merci au dentiste et à son assistante!

Linda GT
il y a 2 ans -  5 (Expérience positive)

A l’écoute et très perfectionniste ! Je recommande fortement

Bich VU
il y a 1 an -  5 (Expérience positive)

Le Dr PALAU est un excellent praticien, très compétent, minutieux, il est a l'écoute tout en conseillant avec pertinence, il est accompagné de son assistante Virginie, une personne très gentille, très agréable qui vous accueille toujours avec le sourire . 😊😊

Depernet Eric
il y a 1 an -  5 (Expérience positive)

Le Dr PALAU est très compétent et consciencieux prodiguant de très bon conseils sans exager le travail à accomplir. Accompagner de son assistance Virginie compétente et agréable.

Naryymen
il y a 1 an -  5 (Expérience positive)

Dr Palau est très agréable, professionnelle et minutieux. Il sait de quoi il parle et vous conseille au mieux. Venue pour un détartrage, il m’a conseillé (après m’a demande) une solution adaptée à une dent manquante. Son assistante s’est montrée souriante et disponible. Merci encore 😃

K M
il y a 1 an -  5 (Expérience positive)

Franchement super! Accueil au top très sympa et professionnel. Je recommande sans hésiter.

marie d13
il y a 2 ans -  5 (Expérience positive)

Le docteur Palau est une personne très agréable, minutieuse et soucieuse d'obtenir des résultats parfaits et naturels en esthétique dentaire. Avec son assistante, Virginie, ils forment une équipe formidable, toujours à l'écoute pour répondre à toutes nos interrogations en tant que patients. Merci beaucoup pour le travail accompli.

 Réponse de Cabinet dentaire Dr Julien PALAU - Prothèse Dentaire et Esthétique Dentaire

Merci à vous pour votre confiance et maintenant faites moi le plus beau cadeau qui soit : souriez :)

Kevin Hourrier
il y a 2 ans -  5 (Expérience positive)

Je tiens à souligner le travail remarquable du Dr Palau et son assistante Virginie. Complexé depuis des années par ma dentition je souris dorénavant volontiers. Alignement dentaire pour la partie basse via une gouttière invisible reconstruction des canines puis pour la partie supérieure pose de deux implants ainsi que facettes pour un résultat vraiment réussi. Une équipe à l’écoute je ne peux que souligner le professionnalisme de ce cabinet . Merci encore pour les gros « travaux » effectués 🙏😁

 Réponse de Cabinet dentaire Dr Julien PALAU - Prothèse Dentaire et Esthétique Dentaire

Merci pour votre confiance c'était un plaisir de vous rendre le sourire

Léa aboudaram
il y a 2 ans -  5 (Expérience positive)

Un immense merci au docteur Palau ainsi qu'à Virginie, qui m'ont guéri de nombreuses années de complexe et qui m'ont donner un sourire parfait. Une équipe au top, bienveillante,sympathique ponctuelle et de bons conseils mais surtout un travail impeccable et de qualité, sans douleur ! bref un sans faute Merci pour tout !

 Réponse de Cabinet dentaire Dr Julien PALAU - Prothèse Dentaire et Esthétique Dentaire

Merci pour votre confiance et votre sourire !

Dounia Laure
il y a 2 ans -  1 (Expérience négative)

Dentiste qui d’après lui « ne fonctionne pas trop avec la cmu ». Venue en urgence dans son cabinet , il n’a strictement rien fait, il ne m’a même pas touché. Il m’a simplement donnée une ordonnance et souhaité bonne continuation, mais cependant il a bien touché l’argent de la visite :) Vraiment les dentistes comme ça n’aiment pas leurs métiers mais que notre argent…

Madame Madame
il y a 2 ans -  5 (Expérience positive)

INCROYABLE !!!! le dentiste et son assistante sont très à l’écoute, et très transparent sur tout, je dirai même que dr PALAU est un magicien et je ne pèse pas mes mots. Cela fait 3ans que j’ai enchaîné beaucoup de dentiste et voilà que je trouve ce dentiste en un rien de temps j’ai eu le sourire de rêve que je voulais. Encore merci merci et merci. Petite photo jointe pour montrer la magie qu’il a fait sur mes dents c’est impressionnant.

 Réponse de Cabinet dentaire Dr Julien PALAU - Prothèse Dentaire et Esthétique Dentaire

Merci pour ce message touchant, vous allez me faire rougir !!! Je suis heureux et fier de vous avoir rendu le sourire :)

Aurelie FRAMBOURT
il y a 2 ans -  5 (Expérience positive)

Un cabinet dentaire au top. J’ai vraiment ressenti la considération pour le patient et la passion de bien faire les choses. À travers un tact et des explications qui ont fait sens pour moi … Le Dr Julien Palau m'a complètement redonné confiance ce qui m’a aidé à gérer ma peur ... D’une douceur incroyable en définitive je n’ai pas eu mal pendant les soins mais vraiment aucune douleur. Je remercie infiniment le Dr Julien Palau ainsi que sa merveilleuse Assistante pour avoir pris mon mal et ma peur en patience. Un Duo rayonnant.

 Réponse de Cabinet dentaire Dr Julien PALAU - Prothèse Dentaire et Esthétique Dentaire

Merci pour ce charmant commentaire. C'était un plaisir de vous réconcilier avec les soins dentaires, en espérant avoir un peu contribué à votre quête du bien être.

Laura MOLINATTI
il y a 2 ans -  5 (Expérience positive)

J’étais très complexée par mon sourire, le Dr Palau m’a posé 6 facettes dont je suis très satisfaite et je peux désormais sourire et rire ! Lui et son assistante ont été très arrangeants sur les créneaux, lors des rdv ils ont toujours été très sympa et très pro. Je n’ai pas eu peur de voir le résultat car il était très perfectionniste ! Le prothésiste avec qui il travaille à fait des facettes très jolies, qui rendent un sourire très vrai et naturel. Je recommande bien sûr le Dr Palau pour toutes vos demandes esthétiques. D’ailleurs ma sœur ira le voir bientôt ;) Encore un grand merci à vous deux

 Réponse de Cabinet dentaire Dr Julien PALAU - Prothèse Dentaire et Esthétique Dentaire

Merci pour votre confiance, et souriez, c'est notre plus belle récompense.

Zineb BENNANI
il y a 2 ans -  5 (Expérience positive)

Le docteur Palau me suit depuis quelques mois maintenant pour l’alignement des dents via gouttières invisibles, je suis très très satisfaite malgré un petit malentendu pendant l’une des premières consultations mais qui s’est vite réglé. Très peu d’attente, les créneaux de rdv sont respectés. Le docteur prend en considération vos demandes et vous propose des solutions adéquates pour avoir le résultat que vous voulez. Il prend son temps pendant chaque consultation pour vous expliquer ce qu’il fait et pour vous parler de l’avancement du traitement. Il donne des conseils pendant chaque visite et veille à ce que vos dents soient en bonne santé. Virginie est au top aussi, a pris la peine de m’expliquer le déroulement du traitement via sa propre expérience. Très arrangeante, même quand on a des impératifs de dernière minute, elle essaie toujours de trouver une alternative qui nous convient. Merci à vous 2 !

Clara Sarzacq
il y a 2 ans -  5 (Expérience positive)

A dentiste exceptionnel, résultats exceptionnels.

the_head in_the_clouds
il y a 3 ans -  5 (Expérience positive)

Merlin M
il y a 4 ans -  3 (Expérience positive)

claire bidaut
il y a 3 ans -  5 (Expérience positive)

Très heureuse d'avoir retrouvé le sourire ( dans tous les sens du terme) grâce au docteur Palau et son assistante ! Les soins sont au top, on y sent un grand professionnalisme et perfectionnisme, le tout dans une ambiance détendue où l'on profite de la complicité de l'équipe. Évidemment, je recommande chaleureusement....

 Réponse de Cabinet dentaire Dr Julien PALAU - Prothèse Dentaire et Esthétique Dentaire

C'était un honneur de me voir confier votre sourire.

veronique tallon
il y a 3 ans -  5 (Expérience positive)

Tellement satisfaite du professionalisme, de la compétence, de la rapidité d intervention de l efficacité , du résultat au delà de mes espérances et de l accueil fort sympathique du Dr Palau et de son assistante! Je suis en général très réticente et là je ne peux que recommander le Dr Palau!

wissanil samo
il y a 3 ans -  5 (Expérience positive)

tres belle experience, pour rendre plus jolie mon sourire j'ai fais confiance au docteur Pallau qui m'a tres bien conseillé. Il ma fait quatre facette sur mes dents du haut avec un blanchiment. Je suis très satisfaite, il a tout fait pour que je puisse sourire toute la vie sans complex. La secrétaire et lui même sont très professionnelle, accueillant, souriant a l'écoute. Je les recommande les yeux fermé, je n'ai rien a dire. Je reviendrai avec mes proches. Merci beaucoup docteur Pallau et sa secrétaire vous êtes au top.

 Réponse de Cabinet dentaire Dr Julien PALAU - Prothèse Dentaire et Esthétique Dentaire

Merci infiniment

Renaud Lévêque
il y a 3 ans -  5 (Expérience positive)

Excellent praticien, très professionnel et méticuleux dans son travail Vous pouvez y aller sans hésiter !

Baptiste Broc
il y a 3 ans -  5 (Expérience positive)

Excellent cabinet dentaire, le Docteur Palau et son assistante Virginie sont très professionnels et à l'écoute du patient. Je suis tout a fait satisfait de leur travail !

Ness Ness
il y a 3 ans -  5 (Expérience positive)

Magnifique expérience !! J’ai fait confiance au docteur Julien palau ainsi qu’à sa formidable assistante , moi qui suit de nature stresser ils sont su me rassurer lors de mes nombreuses séances ! En plus de cela cette équipe a beaucoup d’humour ce qui créer une ambiance très sereine même quand les séances durent longtemps. J’ai opter pour des facettes sur les dents du haut . Celles que mon ancien dentiste m’avais placé ne me convenais pas . Mon sourire actuel est sublime grâce au docteur Palau!!! Je n’ai ressenti aucune douleur et le résultat va au delà de mes espérances !!!! Je vous le recommande vivement !

 Réponse de Cabinet dentaire Dr Julien PALAU - Prothèse Dentaire et Esthétique Dentaire

Merci à vous de nous avoir fait confiance. Vous voir sourire est le plus beau cadeau que vous pouviez nous faire.

CAMILLE SEJOURNE
il y a 3 ans -  5 (Expérience positive)

Je suis très satisfaite des soins prodigués par le Docteur PALAU. Lui et son assistante Virginie sont très professionnels, ponctuels, disponibles et l’accueil est toujours chaleureux.

 Réponse de Cabinet dentaire Dr Julien PALAU - Prothèse Dentaire et Esthétique Dentaire

Merci infiniment pour votre sympathie, je transmet à l'assistante de qualité internationale :)

mickaël bober
il y a 3 ans -  5 (Expérience positive)

Tout d’abord, je souhaite remercier le docteur Palau et son assistante pour leur gentillesse, leur disponibilité, leur professionnalisme et surtout leur bonne humeur! Actuellement sur un traitement Invisalign dans un autre cabinet qui n’est pas de la région, j’ai ressenti des douleurs anormales depuis quelques jours. Étant donné la distance qui me séparait de mon cabinet actuel, j’ai voulu être rassuré par un professionnel s’y connaissant dans les nouveaux traitements orthodontiques. C’est alors que j’ai trouvé le docteur Palau! Dès le début du rendez-vous, son assistante vous accueille avec le sourire et vous fait passer une radio panoramique (en musique s’il vous plaît!). 10 min plus tard, le verdict tombe: dents cariés à cause du mauvais traitement Invisalign! Le docteur Palau m’a tout de suite rassuré en m’expliquant qu’il me sauvera toute les dents sans avoir recours à la devitalisation et que je pourrais poursuivre mon traitement sans modifier les gouttières futures. Il m’a sauvé toutes mes dents, et s’est même adapté de lui même à mon traitement Invisalign! Intervention rapide et toujours dans la bonne humeur! De plus, il effectue plusieurs devis quelques jours avant l’intervention afin de s’adapter à votre situation! En voyant les quelques avis négatifs, je me demande si les patients ont rencontrés le même praticien… Je remercie encore grandement ce duo de choc et je n’hésiterais pas à faire plusieurs heures de route pour tout autre traitement dentaire!

 Réponse de Cabinet dentaire Dr Julien PALAU - Prothèse Dentaire et Esthétique Dentaire

Merci pour votre sympathie, on donne le meilleur de nous même, dans la bonne humeur !

M B
il y a 3 ans -  1 (Expérience négative)

Quand on lit vos réponses aux avis négatifs, on décèle sans problème le manque de professionnalisme voire l'agressivité et la véhémence !!Au moins votre réaction parle d'elle même Concernant le soin que vous avez prodigué à ma compagne, vous lui avez dit que vous alliez rendre "plus esthétique une réparation qui datait un peu" et à aucun moment vous n'avez mentionné de caries. Comme vous semblez être préoccupé par l'état de santé de ma compagne, je vous rassure elle est allée voir un autre dentiste qui s'est occupé convenablement de sa dent sans avoir à la dévitaliser comme vous l'avez suggéré quand elle est revenue vous voir. Votre consœur a d'ailleurs précisé que les antibiotiques que vous aviez prescrits n'avaient aucun intérêt compte tenu du problème. Fin de l'histoire. Bien cordialement

 Réponse de Cabinet dentaire Dr Julien PALAU - Prothèse Dentaire et Esthétique Dentaire

Je ne vois pas du tout qui est votre compagne vu que je ne sais pas qui vous êtes, mais si elle a trouvé son bonheur alors c'est le principal. Une très bonne continuation à vous !

Sami Sami
il y a 3 ans -  5 (Expérience positive)

Meilleur dentiste

Hema Canoussamy
il y a 3 ans -  5 (Expérience positive)

5k 33
il y a 4 ans -  1 (Expérience négative)

J’envoie mon fils de 8 ans chez mon dentiste préféré à cause de douleurs et on lui détecte des caries sur dents de lait. Pas très grave ce sont des dents de lait elles finiront par tomber mais là où on manque un peu de diplomatie c’est lorsqu’on dit au petit on va te les arracher 😬🤪😅. Heureusement mon brave fils ne s’est pas laisser déstabiliser 💪 il ira peut-être chez l’orthodontiste mais en attendant cela, Madame est en colère et mon fils pas soigné pour la modique somme de 23€ ce dernier s’est permis de dire que c’était cher payé pour une visite. Heureusement, on lui a pas arraché ses dents de lait 😬😬😬😬😬😬😬 c’est sûr c’est la fin de la journée c’est pas toujours facile avec des enfants mais soyons et restons gentil et diplomate avec eux. Donnons leurs l’envie d’une visite préventive chez un dentiste 🦷 ils reviendront avec le sourire 😀 Pour moi je vous mets 5* mais pour mon fils 1* 🙈

 Réponse de Cabinet dentaire Dr Julien PALAU - Prothèse Dentaire et Esthétique Dentaire

Alors reprenons depuis le début. Vous venez de la part de votre mari que j'ai traité il y a quelques années de cela (et qui m'a mis 5 étoiles à la fin de son message incendiaire à mon encontre suite à votre récit). Je reçois votre enfant alors que nous sommes un cabinet d'ethétique et de soins réservés aux adultes. Vous avez dis à mon assistante et à moi même que c'était pour un nettoyage. Par nettoyage nous entendons détartrage et contrôle. De votre propre aveu, vous avez utilisé le terme nettoyage parce que vous ne connaissez pas les termes français pour dire détartrage et les nuances qu'ils impliquent. Je regarde la bouche de votre enfant et m'apperçois que ce que vous voulez que je nettoie sont 3 caries sur des dents de laits. Je vous annonce que votre enfants a des caries et il se met à stresser du haut de ses 8 ans, ce qui est bien normal. Quand un enfant est stressé, je préfère l'envoyer chez une pédodontiste car les soins sont mieux adaptés aux petits et les praticiens utilisent le MEOPA (gaz relaxant) pour détendre l'enfant et qu'il ne garde pas de mauvaise expérience de ses soins. Quand je vous annonce que je ne vais pas faire les soins moi même, vous m'engueuler presque parce que vous allez devoir reprendre rendez vous ailleurs (dans l'intêret de l'enfant encore une fois). Vous me remerciez ainsi que mon assistante (hypocrisie puissance 10) et nous vous donnons les coordonnées de 2 praticiennes spécialiste des enfants sur Marseilles. Quand je me suis apperçu que votre enfant commencé à paniquer, j'ai essayer de rigoler avec lui pour le détendre, en lui expliquant avec des mots simples qu'il va aller chez une dame pour soigner ses caries, qu'il ne sentira rien. A aucun moment je n'ai mentionné le fait qu'il faille les "arracher" (terme que de toute façon je n'emploie pas car on dit extraire) et je vous ai même dit que ces dents étaient importantes jusqu'à 12 ans et que donc il fallait de bons soins dessus. Vous avez compris qu'il fallait les arracher et ça a été confirmer apparemment par votre fils de 8 ans (il ne va pas contredire sa maman...) mais bon, vous ne savez pas faire la différence entre un nettoyage, un détartrage, des caries... donc je vais bien sur vous croire sur parole. Après vous avoir appeler pour comprendre pourquoi tant de véhémence, vous m'avez confié que comme vous êtes professeur de pédagogie, je n'aurais pas dû rigoler avec votre fils, parce que ce sont vos mots "les dentistes font peurs donc il ne faut pas rigoler". La prochaine fois plutot que d'essayer de dédramatiser et de rassurer l'enfant je vais plutot faire la gueule et lui dire qu'on va lui faire une grosse piqure et des gros trous dans ses dents, il appréciera encore plus. Bref une consultation de 10 minutes menée avec bienvaillence dans l'intêtet de l'enfant pour qu'il ai des soins appropriés qui se solde par un double mauvais avis (un sur votre compte et un sur celui de votre mari qui n'était même pas présent) parce que vous avez compris de travers. Ce n'est pas bien grave, je vais continuer de soigner au mieux les gens avec ma bonne humeur et mon humour. On ne peut pas plaire à tout le monde, et j'espère que vous trouverez le praticien qui parle votre langue et qui a pris préalablement vos cours de pédagogie. Très bonne continuation à vous.

Guller Troian
il y a 3 ans -  1 (Expérience négative)

Well...Let me tell you first that I was here according a family member's recommendation! for the beginning I tried to move the appointment 15-30 minutes forward but the secretary refused! So, we rushed to the clinic to be on time but had to wait for 20 minutes to see the doctor! Any way this wasn't all! The real show began after a few minutes in the doctor's office! To my surprise he was joking with my 8-year-old son about pulling out his teeth and that it could be possible for him to continue his life eating soup with no teeth in his mouth! Come on doctor ! Where on Earth dentists have started joking with pulling teeth with their young clients? Were you waiting for the little one to laugh at a dentist's cheesy joke under that situation? For your information he spent almost 30 seconds on my son and told that he is too stressed (I wonder why) and it would be a better idea to take him to another specialist who would take special care of the kids! Well... Ok! So we left the office and went to the secretary to receive the new doctor's name and address. Again waited for 10 minutes and... wait for it !! I had to pay 23€ for the appointment! Even my son gave a comment and said but he did nothing! So it would be a more logical idea to refuse my son on the phone directly and say that doctor doesn't accept children. So as you see we didn't have the chance to see if the doctor does his work well or not ! It is up to you to see and tell us too !

 Réponse de Cabinet dentaire Dr Julien PALAU - Prothèse Dentaire et Esthétique Dentaire

Alors reprenons depuis le début. Vous venez de la part de votre mari que j'ai traité il y a quelques années de cela (et qui m'a mis 5 étoiles à la fin de son message incendiaire à mon encontre suite à votre récit). Je reçois votre enfant alors que nous sommes un cabinet d'ethétique et de soins réservés aux adultes. Vous avez dis à mon assistante et à moi même que c'était pour un nettoyage. Par nettoyage nous entendons détartrage et contrôle. De votre propre aveu, vous avez utilisé le terme nettoyage parce que vous ne connaissez pas les termes français pour dire détartrage et les nuances qu'ils impliquent. Je regarde la bouche de votre enfant et m'apperçois que ce que vous voulez que je nettoie sont 3 caries sur des dents de laits. Je vous annonce que votre enfants a des caries et il se met à stresser du haut de ses 8 ans, ce qui est bien normal. Quand un enfant est stressé, je préfère l'envoyer chez une pédodontiste car les soins sont mieux adaptés aux petits et les praticiens utilisent le MEOPA (gaz relaxant) pour détendre l'enfant et qu'il ne garde pas de mauvaise expérience de ses soins. Quand je vous annonce que je ne vais pas faire les soins moi même, vous m'engueuler presque parce que vous allez devoir reprendre rendez vous ailleurs (dans l'intêret de l'enfant encore une fois). Vous me remerciez ainsi que mon assistante (hypocrisie puissance 10) et nous vous donnons les coordonnées de 2 praticiennes spécialiste des enfants sur Marseilles. Quand je me suis apperçu que votre enfant commencé à paniquer, j'ai essayer de rigoler avec lui pour le détendre, en lui expliquant avec des mots simples qu'il va aller chez une dame pour soigner ses caries, qu'il ne sentira rien. A aucun moment je n'ai mentionné le fait qu'il faille les "arracher" (terme que de toute façon je n'emploie pas car on dit extraire) et je vous ai même dit que ces dents étaient importantes jusqu'à 12 ans et que donc il fallait de bons soins dessus. Vous avez compris qu'il fallait les arracher et ça a été confirmer apparemment par votre fils de 8 ans (il ne va pas contredire sa maman...) mais bon, vous ne savez pas faire la différence entre un nettoyage, un détartrage, des caries... donc je vais bien sur vous croire sur parole. Après vous avoir appeler pour comprendre pourquoi tant de véhémence, vous m'avez confié que comme vous êtes professeur de pédagogie, je n'aurais pas dû rigoler avec votre fils, parce que ce sont vos mots "les dentistes font peurs donc il ne faut pas rigoler". La prochaine fois plutot que d'essayer de dédramatiser et de rassurer l'enfant je vais plutot faire la gueule et lui dire qu'on va lui faire une grosse piqure et des gros trous dans ses dents, il appréciera encore plus. Bref une consultation de 10 minutes menée avec bienvaillence dans l'intêtet de l'enfant pour qu'il ai des soins appropriés qui se solde par un double mauvais avis (un sur votre compte et un sur celui de votre mari qui n'était même pas présent) parce que vous avez compris de travers. Ce n'est pas bien grave, je vais continuer de soigner au mieux les gens avec ma bonne humeur et mon humour. On ne peut pas plaire à tout le monde, et j'espère que vous trouverez le praticien qui parle votre langue et qui a pris préalablement vos cours de pédagogie. Très bonne continuation à vous.

Pascal SIF
il y a 3 ans -  5 (Expérience positive)

Merci au Docteur Palau et son assistante pour leur disponibilité, leur professionnalisme et leur bonne humeur. Je recommande à 100% ce cabinet dentaire

Co Sgtti
il y a 3 ans -  1 (Expérience négative)

Rdv pour un détartrage qui se termine par une anesthésie et un travail sur une dent saine. Depuis 8 mois j'ai des douleurs au niveau de cette dent et je vois un autre dentiste pour réparer ce mauvais travail. Des initiatives prises pour gonfler la note sans se soucier du patient !

 Réponse de Cabinet dentaire Dr Julien PALAU - Prothèse Dentaire et Esthétique Dentaire

Sans se soucier du patient.... Je ne sais que dire. Une radio a été effectué (j'ai les images je peux vous les envoyer pour vous rafraichir la mémoire) et elle montre très clairement une carie sur chacune des dents que j'ai traité. Donc on ne peut pas parler de dents saines. Maintenant si vous préférez attendre d'avoir mal et de devoir dévitaliser plutôt que d'anticiper, je comprends. Les restaurations ont été faites dans les règles de l'art. Parfois ce genre de traitement entraine des sensibilités, voire des complications, c'est ce qu'on appelle un aléas thérapeutique. Mais je suis sur que vous à votre travail vous n'avez jamais de problème, ne faîtes jamais d'erreur, n'avez aucun impondérable à gérer. Bonne continuation à vous.

Linda GT
il y a 3 ans -  5 (Expérience positive)

Excellent dentiste esthétique ! Hyper perfectionniste ! Un vrai pro ! Je recommande les yeux fermés ! Il m’a redonné le sourire après un travail négligé effectué par un autre dentiste avant lui ! Si vous souhaitez de belles facettes vous êtes au bon endroit ! Je recommande les yeux fermés

Jordan Lukas
il y a 3 ans -  5 (Expérience positive)

J'avais été chez un dentiste il y a 2 ans et tout le travail, pourtant très coûteux était tombé.. malgré que l'ont m'ai conseillé ici j'étais réticent. Résultat, en 2 séances ma bouche fut nickel, Julien maîtrise son sujet à la perfection. Encore merci !

C F
il y a 3 ans -  5 (Expérience positive)

Je recommande fortement Docteur Palau qui est très professionnel, minutieux et toujours réactif au besoin ! Je suis vraiment satisfaite des résultats et j y retournerai avec plaisir. Super équipe avec son assistante.

Sibel Erol RASHIT
il y a 3 ans -  5 (Expérience positive)

Je suis heureuse de mon choix de dentiste, Merci pour tout.

Timothé
il y a 4 ans -  5 (Expérience positive)

Super premier rendez-vous, je recommande les yeux fermés !

Benjamin BIDEAU
il y a 4 ans -  5 (Expérience positive)

Je ne met pas souvent des avis mais je dois avouer que Dr palau a tellement fait du bon travail sur la dentition de mon épouse puis de la mienne que je le fais savoir avec plaisir ! Niveau de connaissances élevé et une vraie passion pour son métier, ça fait plaisir à voir, merci Docteur !

Leelou Montant
il y a 4 ans -  5 (Expérience positive)

Le docteur Palau m’a redonné le sourire (et il y avait du boulot). Dentiste disponible avec des rdv parfois du jour au lendemain. Jamais aucune douleur mais toujours de bonne humeur lors des interventions. Une grande expertise! En dehors des rdv, Virginie a été disponible et réactive pour répondre à mes questions. En résumé je suis toujours confiante en entrant dans le cabinet et j’en ressors contente. 10/10, un beau duo, professionnel et à l’écoute. Merci!!

evelyne liotardo
il y a 4 ans -  5 (Expérience positive)

très professionnel, organisé et diligent. Sauvée!!!

Steeve BARD
il y a 4 ans -  5 (Expérience positive)

Vous pouvez y aller les yeux fermés. Très grand professionnel, qui n'est pas avare d'explication concernant ses interventions. Pour avoir consulté une bonne dizaine de dentistes sur Marseille, je peux assurer que je n'en changerai plus. Merci encore

Myna Rany
il y a 4 ans -  5 (Expérience positive)

Anaïs KOPPEL
il y a 4 ans -  5 (Expérience positive)

Excellent cabinet dentaire, soins réalisés à la perfection, à l'écoute de nos exigences et à la pointe des dernières avancées odotonlogiques. Je recommande ! Merci encore Dr Palau et son assistante dentaire

Cannelle Nivan
il y a 4 ans -  5 (Expérience positive)

O R
il y a 4 ans -  5 (Expérience positive)

Toujours d'une grande disponibilité, un accueil toujours souriant de Virginie, le temps de poser des questions et d'avoir les réponses. J'ai du faire un soin assez long dans ce cabinet, choisi plutôt au hasard mais que je recommande vivement aujourdhui. Il y a toujours un temps d'écoute, jamais de douleur, beaucoup de précautions prises et que ce soit le docteur Julien ou son assistante Virginie tous les deux sont très professionnels et très humains également.

Valentine Cleret
il y a 4 ans -  5 (Expérience positive)

J'ai pris rendez-vous au cabinet médical du docteur Palau car j'avais des tâches imposantes sur les dents (qui me complexaient depuis toujours) et je n'arrivais jamais à avoir un diagnostic et une solution. Dès le premier rendez-vous, le docteur Palau m'a fait un diagnostic immédiat : une fluorose. Je ne voulais pas mettre de facettes alors il m'a proposé une solution beaucoup moins invasive : le composite. J'écris cet avis car je rentre de mon 3e rendez-vous et j'ai un sourire MERVEILLEUX et surtout très naturel!! Haha Le travail du docteur Palau est extraordinaire. Il est très doux et méticuleux !! Je tiens également à remercier son assistante qui est d'une grande bienveillance! Elle m'a accompagné au mieux dans ma décision et dans les soins prodigués. Vous êtes une équipe formidable, drôle et très professionnelle. Merci à tous les deux car j'ai passé de bons moments chez le dentiste (oui oui... vous ne rêvez pas!)

Julien Lalanne
il y a 4 ans -  5 (Expérience positive)

Mr Palau est un professionnel consciencieux. Il aime le travail bien fait. J'ai apprécié sa réactivité tout en me proposant une solution la plus adaptée.

Sullivan Henriques
il y a 4 ans -  5 (Expérience positive)

Le docteur Palau m'a sauvé la bouche et m'a redonné le sourire, étant un cas désespéré sur 5 dentistes à Marseille il a été le seul à être capable de me prendre en charge. Sur une vingtaine de dentistes à qui j'ai pu avoir à faire au cours de ma vie, son niveau de connaissance et son professionnalisme sont à des années lumière des autres. Je le recommande à tous mon entourage et pour rien au monde j'irais chez un autre dentiste. Je tiens aussi à noter que son assistante est d'un professionnalisme et d'une gentillesse hors paire. Bref foncer les yeux fermés mais bouche ouverte =)

Leren liefde
il y a 4 ans -  1 (Expérience négative)

Isabelle Gambini
il y a 4 ans -  5 (Expérience positive)

Accueil chaleureux, travail très professionnel et méticuleux. Équipe à l'écoute des besoins, compétente, disponible et empathique. Les explications permettent de se sentir en confiance lors des soins. La qualité des conseils ainsi que le suivi des soins sont au top! Alignement dentaire juste parfait! Je recommande fortement le cabinet dentaire du Dr Palau que ce soit pour des soins courants ou esthétiques.

M Rvl
il y a 4 ans -  5 (Expérience positive)

Ponctuel, et passionné ! Explications claires avant le geste, aucune douleurs pendant l'opération. Je recommande vivement

Sophie N
il y a 4 ans -  5 (Expérience positive)

Dentiste très DOUX, à l'écoute du patient, minutieux, compétent, qui prend le temps de réaliser des soins de manière parfaite. Il veille au confort du patient et au niveau de douleur que nous pouvons rencontrer. Personne humaine et très agréable. Son assitante est très aimable et tient parfaitement son rôle. Cabinet facile d'accès en métro, uniquement la route à traverser, locaux neufs avec matériel hightech. Je recommande vivement cette belle équipe de professionnels.

Laurent Gaildraud
il y a 4 ans -  1 (Expérience négative)

J’habite Cours Pierre Puget et j’ai eu une étonnante expérience dans ce cabinet dentaire. Vous arrivez dans la cabinet : personne à l’horizon, pour vous recevoir ni dans la salle d’attente. Se passe 5 mn pour que l’assistante visiblement dressée à faire légèrement attendre, vienne vous voir. Carte vitale etc. Vous serez diligentés dans le cabinet dentaire où Mr Palau sera concentré sur son ordinateur réfléchissant à des sujets élevés visiblement plus importants que de recevoir ses clients. D’un ton légèrement concédant et suffisant, il vous demandera ce qui vous amène. Sachez que Mr Palau n’écoutera rien de ce que vous avez à lui dire. Vous lui expliquerez ce que vous attendez de lui et lui entendra autre chose c’est-à-dire ce qu’il faut faire pour vos dents dans le monde parfait qui est le sien. La subtilité comportementale n’est pas le caractère dominant du personnage. Pour les questions de facturation, vous serez négligemment envoyé d’un revers de main vers l’assistante car nous sommes peu concernés par ces questions matérielles et vulgaires. Pourtant, vous entrez pour un nettoyage et quelques composites à changer et on vous sortez avec un devis de 5000 euros. Le doute s’installe. Ceci est possiblement ou partiellement justifié, il faudra simplement expliquer la nuance et la graduation dans le propos à ce monsieur. La finesse psychologique se situe entre l’hippopotame et le rhinocéros mais restera pachydermique. J’ai pris RV sur Doctolib, n’ayez pas d’inquiétude, l’homme est disponible...

 Réponse de Cabinet dentaire Dr Julien PALAU - Prothèse Dentaire et Esthétique Dentaire

Merci d'avoir pris le temps de faire part de votre expérience en ma compagnie. Pour commencer, mon assistante n'est pas dréssée, elle bosse en fait, nettoye les instruments, stérilise le matériel, aère les locaux parce qu'il y a un truc qui s'appelle le covid... et c'est bien pour cela qu'il y a une salle d'attente, pour attendre. Et vous avez donc attendu 5 min chez un professionnel de santé, une éternite. Commentaire d'un autre temps. J'imagine que ces 20 minutes passées ensemble a été les pires de votre vie pour que vous m'incendiez ainsi. Vous arrivez chez moi pour réparer vos dents cassées. J'écoute effectivement votre demande, à savoir nettoyer vos dents, et réparer vos 2 dents qui ont cassées. Pour ce qui est du nettoyage, de la nicotine à n'en plus finir, plus un déchaussement de dents, donc il faut gratter fort et c'est douloureux. C'est tout naturellement que je vous propose un autre rendez vous, plus long, pour faire ceci sous anesthésie, afin de nettoyer efficacement. Quant aux réparations dont vous avez besoin, il y a certes les 2 dents pour lesquelles vous venez, mais mon devoir de médecin est de regarder toute la bouche, c'est même une obligation légale, si je passe à côté de quelque chose, je suis en tord déontologiquement et pénalement. C'est ainsi que, radio et photos à l'appui (je ne sais pas si un de vos dentistes précédant a déjà pris la peine de prendre vos dents en photo pour que vous puissiez vous rendre compte des problèmes qu'il y règne) je vous montre OBJECTIVEMENT les différents composites qui sont cassés, infiltrés... ainsi que l'infection importante qui ronge l'os sur une des dents, dont vous n'avez pas conscience car non douloureuse. Mais comme toujours, si vous n'avez pas mal, c'est qu'il n'y a pas de problèmes... jusqu'à ce que ça explose. Bref, je suis pour la prévention, je montre et j'explique. Cela ne vous convient pas et vous préférez un praticien qui vous dise que tout va bien dans le meilleur des mondes, j'entends ça. Inutile d'être aussi véhément, Marseille regorge de dentistes qui travaillent comme dans les années 80, vous trouverez le praticien qui vous fera le bricolage qu'il vous faut. Pour finir, si je regarde mon ordinateur quand vous arrivez, c'est parce que j'analyse votre radio pour faire un premier diagnostic de votre état dentaire avant même que vous ne vous présentiez à moi. Très bonne continuation. Cordialement.

Sabine Sabine
il y a 4 ans -  1 (Expérience négative)

Pas du tout professionnel. J’ai pris un rdv pour une rage de dent , et j’attendais ce rdv avec impatience. Je me présente sur les lieux et celui-ci était fermé . J’ai appelé plusieurs fois dans la journée pour confirmer le rdv mais aucune réponse. Seulement sur messagerie vocal. 0/20 Je vous le déconseille Réponse à votre commentaire : Peu importe la raison de ma venue , la moindre politesse est de prévenir les patients . Vous ne m’avez pas prévenu . Ce n’était pas esthétique c’était pour une urgence alors si les transmissions sont mal faites dans votre cabinet ce n’est pas mon problème. De plus, sachant que vous alliez faire le vaccin vous auriez dû anticiper bien avant . Ça s’appelle de l’organisation. Votre réponse prouve votre incompétence.

 Réponse de Cabinet dentaire Dr Julien PALAU - Prothèse Dentaire et Esthétique Dentaire

Mes excuses pour le désagrément, mais nous avons été plus que professionnel, sauf si vous partez du principe qu'un médecin ne peut jamais avoir de problème, dans ce cas là oui je m'incline. Ayant été vacciné contre le covid la veille, j'ai fait une mauvaise réaction au vaccin, qui a commencé dans la matinée avant de me provoquer une fièvre et des maux de tête. Voyant que je ne pourrai pas assurer mes consultations de l'après midi dans de bonne condition, j'ai demandé à mon assistante de contacter les patients pour les prévenir. Sur le planning vous avez pris un rdv pour raison esthétique, donc rien à voir avec un rage de dent, déjà, de plus nous vous avons contacté par téléphone et par mail, nous aurions même pu vous redonner un rdv très rapidement et vous faire parvenir une prescription. Bref, les médecins et les praticiens ne sont pas des machines, aussi je vous demande d'excuser ma faillibilité indépendante de ma volonté, et je vous remercie pour la courtoisie de nos échanges et pour votre sympathie. Bonne continuation.

anne margita
il y a 4 ans -  5 (Expérience positive)

Le Docteur PALAU est un excellent professionnel, à l'écoute de ses patients, et qui ne compte pas son temps pour les soins prodigués. Pour ma part , je suis sa patiente depuis plus de deux ans. Je l'ai rencontré pour des soins courants et un traitement esthétique. Le résultat est plus que parfait. Je me suis sentie, écoutée et comprise par le Docteur PALAU, j'ai aujourd'hui des dents et un sourire superbe. Son cabinet d'une propreté irréprochable dispose de matériel médical moderne . Je recommande vivement ce cabinet pour toute intervention dentaire. Sans oublier la gentillesse et le sourire de son assistante

Jennifer Michelangeli
il y a 4 ans -  5 (Expérience positive)

Le Dr Palau ainsi que son assistante forment une équipe au top ! Le Dr Palau est extrêmement professionnel ! Il est très pointilleux, il prend en compte nos attentes, il sait nous rassurer et exige de lui même un travail parfait . Je suis passée d un acte digne d un boucher a celui d un maître dans son domaine ! Il a effectué un travail d excellence ! Merci mille fois de m avoir rendu mon sourire !!! Quel bonheur de vous avoir fait confiance !!!

Cathia Bedhouche
il y a 4 ans -  1 (Expérience négative)

Très mauvais accueil, revoyez votre sens de l'hospitalité, la secrétaire à été très désagréable... réfléchissez à 2 fois avant d'y aller!

 Réponse de Cabinet dentaire Dr Julien PALAU - Prothèse Dentaire et Esthétique Dentaire

Mon assistante est des plus aimable et accueillante. Maintenant si on remet les choses dans leur contexte, vous prenez un Rendez vous de 30 minutes et vous arrivez avec 20 minutes de retard. Avec 10 minutes passe encore, je vous reçois, mais 20 minutes... je ne vais pas pénaliser tout mes patients après vous parce que vous avez eu du retard. Mon assistante s'est excusée de ne pouvoir vous recevoir et vous a proposé de vous redonner un rendez vous, pour vous recevoir dans les meilleures conditions, prendre le temps de faire ce qu'il y a à faire (questionnaire médical, création de fiche patient, vous écouter, faire les soins...). Je n'ai pour habitude ni d'être en retard, même si (très rarement) cela arrive, ni de bâcler mes soins, donc j'ai besoin de temps pour bien travailler. De plus nous demandons à nos patients, et cela est spécifié quand vous prenez le rdv, d'être à l'heure car au cas où vous ne l'auriez pas remarqué il y a une pandémie mondiale, et nous évitons de stocker les patients en salle d'attentes, pour le bien de tous. Bien à vous, bonne continuation.

Luisa Armand
il y a 5 ans -  5 (Expérience positive)

Enfin satisfaite de mon sourire! Très bon travail, les dents valent le prix. Je recommande vraiment!

Christelle Ehuy
il y a 5 ans -  5 (Expérience positive)

Le docteur Palau et son assistante sont vraiment sympathiques et professionnels. J'ai fortement appréciée la qualité de leurs conseils, nos séances de soins ainsi que leur suivi.. Sans parler du résultat qui tout simplement parfait. Je recommande chaudement

Andrea Benzo
il y a 5 ans -  5 (Expérience positive)

J'ai rencontré le docteur PALAU il y a un an et grâce à lui et son assistante Virginie, ma vie et surtout mon sourire ont changés !!!! Toujours professionnel, réactif et à l'écoute. D'une gentillesse extrème et très rassurant. Il a réussi à me rendre mon sourir, sans complexe et encore plus beau que dans mon imagination. Si vous souhaitez un exellent praticien, des conseils de qualités, avec des partenaires très compétents, je vous conseille les yeux fermés, le docteur PALAU !!!

Cedrus Marsellus
il y a 5 ans -  1 (Expérience négative)

Cet homme n'est pas un dentiste, c'est un businessman! A mon arrivé, la secrétaire prends ma carte vitale. La salle d'attente était vide et pas de patients en consultation. J'ai attendu 30 minutes. Le dentiste et sa secrétaire, papotaient sans tenir compte que j'étais la....j'ai du au final intervenir. A la fin de la consultation, j'ai eu droit à ses talents de commercial pendant 10 minutes pour le vendre des couronnes hors de prix (photos et témoignages à l'appui). Puis la secrétaire prends le relais, dans le même bureau et me facture un montant qui ne m'avait pas été annoncé initialement. Le minimum de décence est d'informer du prix au patient avant pratiquer un acte!

 Réponse de Cabinet dentaire Dr Julien PALAU - Prothèse Dentaire et Esthétique Dentaire

SI la salle d'attente est vide et que l'on vous a fait attendre c'est parce que nous avons des directives : devoir aérer entre chaque patient et ne pas les faire s'accumuler en salle d'attente. Si on prend votre carte vitale à votre arrivée c'est pour pouvoir créer votre dossier patient, tout simplement. Si mes couronnes sont "hors de prix" c'est parce que je travaille avec les meilleurs prothésistes avec des prothèses réalisés numériquement tout en céramique, et pas avec des technologies datant de 1980 avec des bases en métal. Enfin vous m'avez demandé de vous remettre en place une couronne qui etait tombée, c'est un acte qui n'est pas remboursé par la sécurité sociale (chez aucun dentiste) et ce n'est pas de ma faute. Après j'avoue, 50 euros de votre poche pour vous soigner, vraiment j'ai le business dans la peau, j'ai gagné ma journée avec ça. On ne peut pas plaire à tout le monde, je vous souhaite une belle continuation et surtout de trouver un dentiste qui vous convienne. Ps: si mes prothèses "tombent" (ce qui n'arrive quasiment jamais) j'en assume les conséquences, et la qualité a un coût. Cordialement

Jagain CORINNE
il y a 5 ans -  5 (Expérience positive)

Très satisfaite de ce dentiste, je l'ai suivi lorsqu'il a ouvert son cabinet, même si je n'habite pas à Marseille. Très à l'écoute et très pro, essaie de trouver la meilleure solution pour le patient en conjugant efficacité et esthétique. Pour la première fois, je n'appréhende plus les rdv chez le dentiste car le Dr Pallau fait le maximum pour éviter la douleur. Très bon relationnel, attentif et disponible. Une dédicace également pour son assistante Virginie qui vous accueille toujours avec le sourire et qui est très pro également. Une belle équipe de pros. Merci

authone conte
il y a 5 ans -  5 (Expérience positive)

Dentiste au top ! Très à l'écoute et prends son temps pour pratiquer les soins !

Jean Michel Greis
il y a 5 ans -  5 (Expérience positive)

Comme d'habitude au top!! Je viens du 16 ème pour me faire soigner par le roi de la facette !! Franchement RAS

Maxime A.
il y a 5 ans -  5 (Expérience positive)

Le top, dentiste très à l'écoute et les soins sont de qualité.

Samir B
il y a 5 ans -  5 (Expérience positive)

Ayant rendez vous afin de faire une extraction d’une dent, Mr PALAU à était très professionnel et compétant, malgres mon angoisse pour le dentiste tout c’est très très bien passé et limite on rigoler pendant l’intervention, j’y aurais jamais crue. À très bientôt et merci pour votre amabilité MR BOUSTANI SAMIR

Claire Pinon
il y a 5 ans -  5 (Expérience positive)

Dentiste Palau, Vous êtes un excellent dentiste: vous êtes motivé par ce que vous faites, vous expliquez, informez et mettez en confiance. Vous prodiguez des soins de qualité avec efficacité, en ayant également la conscience collective, à savoir (ne pas multiplier les rdv pour l'intérêt du tiroir caisse) que vous veillez à ce cher système de protection de soins que nous avons. Je précise que le docteur Palau est également très pédagogue auprès des enfants, ce qui est fort appréciable. Merci beaucoup dentiste monsieur Palau

guillaume sauron
il y a 6 ans -  5 (Expérience positive)

Très bon dentiste, excellente communication qui explique et montre avant de faire ! Je recommande !

Saloua Ennasri
il y a 6 ans -  5 (Expérience positive)

Bonjour, C’est un excellent docteur mais humain avant tout. A l'écoute, gentillesse, il prend soin de ses patients et les mets avec en confiance. On voit qu’il aime son métier et ses assistantes sont au top. Je suis plus que satisfaite de son travail et le recommande vivement. Vous ne serez pas déçu. Encore merci docteur Palau.

Badreddine Ramdane
il y a 6 ans -  5 (Expérience positive)

Ayant eu plusieurs rendez vous avec le docteur Palau, je vous garantie que son travail est excellent, il explique aux patients tout ce qu'il fait et surtout le travail est fait de manière professionnelle. Je recommande, vous pouvez y aller les yeux fermés.

sophie barberis
il y a 6 ans -  5 (Expérience positive)

Excellent dentiste, clair dans ses explications, très professionnel, méticuleux et passionné par son métier. Je le recommande vivement!

Mou lamort
il y a 6 ans -  5 (Expérience positive)

Je suis très satisfaite de son travail. Il donne des explications précises. Il est très professionnel et méticuleux dans son travail. Il est arrangeant en ce qui concerne le paiement. Et avec lui j'ai été vite mis en confiance et cela fait très longtemps que je recherche un dentiste de confiance sur Marseille. Je le recommande vivement.

Poupydemarse Lili
il y a 6 ans -  5 (Expérience positive)

Super! Vraiment professionnel et aime son métier (si pas de dentiste venir chez Dr Palau!!) Vous ne serez pas déçu !

Marc Boggero
il y a 6 ans -  5 (Expérience positive)

Travail soigné, explications claires, très professionnel. Aime son métier. A recommander

Gaelle Capitaine
il y a 6 ans -  4 (Expérience positive)

dentiste precis et professionnel ne compte pas son temps et donne toutes les explications nécessaires. passionné par son travail dommage qu'il faille faire l'avance secu et mutuelle.

 Réponse de Cabinet dentaire Dr Julien PALAU - Prothèse Dentaire et Esthétique Dentaire

Merci pour votre commentaire sympathique. En général pour les travaux soumis à devis, je m'arrange pour que les patients me paient la part remboursée une fois qu'ils ont justement été remboursés, mes excuses si cette mesure n'a pas été mise en place pour vous. Pour les soins, qui eux sont totalement remboursés sous 5 jours, il est vrai que je ne pratique pas le tiers payant. Bonne continuation !

Malika
il y a 7 ans -  5 (Expérience positive)

Grand professionnalisme, à l'écoute de ses patients, nous enlève toutes nos craintes .Travail très soigné et bien fait. Un dentiste très sympathique chez qui je me sens en confiance. Je le recommande vivement.

Eric Cohen
il y a 7 ans -  5 (Expérience positive)

Excellent travail ,très satisfait du résultat ,très professionnel, le soucis du détail, devis respectes .Je recommande

Aurore PELLETIER
il y a 7 ans -  5 (Expérience positive)

Un très grand professionnalisme pour un résultat incroyable. Mon cas était compliqué, un diastème qui me gênait depuis longtemps. Le docteur Palau a été conservateur au possible, et n'a pas compté les heures pour atteindre la perfection. Très consciencieux, vous pouvez y aller les yeux fermés.

Emeline
il y a 7 ans -  5 (Expérience positive)

Je suis très satisfaite du professionnalisme et de la patience dont a pu faire preuve le Docteur PALAU lors de nos rdv. Il a pris le temps de clairement m’expliquer son protocole de soins et s’est montré très à l’écoute, pédagogue, face aux craintes que je lui avais exprimées. Il est ponctuel ce qui une qualité rare chez ses confrères, qu’il me semble important de signaler. Cela démontre pour moi une marque de respect, qu’il nous appartient en tant que patients d’honorer à notre tour... Je tiens également à remercier son équipe soignante qui s’est avérée être professionnelle et accueillante, rendant les rdv chez le dentiste, que nous sommes nombreux à redouter, plus faciles à vivre.

Marine Doussineau
il y a 7 ans -  1 (Expérience négative)

 Réponse de Cabinet dentaire Dr Julien PALAU - Prothèse Dentaire et Esthétique Dentaire

Vous ne vous êtes pas présenté à 2 rendez vous que nous vous avions donné, et vous n'avez même pas pris la peine de nous appeler pour nous prévenir . Je vous ai ainsi poliment signalé que je ne vous recevrai plus, et vous vous permettez de mettre une note d'une étoile (sans le moindre commentaire, car il n'y a rien à dire...) merci pour votre respect et votre éducation. Bonne continuation.

valérie P.
il y a 7 ans -  5 (Expérience positive)

J'ai consulté le docteur Palau pour des soins très importants . A l'issue de cette année de soins et d'accompagnement je suis ravie du résultat tant d'un point de vue médical (gestion de la douleur, durée des rdv adaptés,explications., Disponibilité ) que esthétique. Je recommande vivement le docteur Palau

C Orliac
il y a 7 ans -  5 (Expérience positive)

Le Dr Palau est un excellent dentiste, compétent et très à l’écoute de ses patients. Son métier le passionne et cela se voit ! Vous pouvez aller le consulter les yeux fermés. Pour ma part, je le recommande sans hésiter.

Joëlle Gonzales-Rigal
il y a 7 ans -  4 (Expérience positive)

A l'écoute, donne des explications claires et concises. Je suis satisfaite du résultat. Je recommande.

Laissez votre avis sur Cabinet dentaire Dr Julien PALAU - Prothèse Dentaire et Esthétique Dentaire

Ajoutez votre cabinet dentaire à notre annuaire gratuitement

Si vous dirigez un cabinet dentaire ou travaillez comme professionnel du secteur, vous pouvez rejoindre gratuitement notre annuaire spécialisé. Soumettez les informations de votre cabinet et faites partie d’un guide consulté chaque jour par des centaines d’utilisateurs cherchant des dentistes fiables pour leurs soins dentaires dans votre région.

Ajoutez votre cabinet gratuitement

Cabinet dentaire Dr Julien PALAU - Prothèse Dentaire et Esthétique Dentaire apparaît dans les listes suivantes :

Autres Dentistes de Marseille qui pourraient vous intéresser

Cabinet Elbez  5 (12)

Cabinet Elbez

 Voir l’adresse et les coordonnées

Centre Médical Ferrari  5 (4)

Centre Médical Ferrari

 Voir l’adresse et les coordonnées

Peyrat Denise  5 (2)

Peyrat Denise

 Voir l’adresse et les coordonnées

Duquesne Tania  5 (8)

Duquesne Tania

 Voir l’adresse et les coordonnées

Dr Vernier Audrey  5 (4)

Dr Vernier Audrey

 Voir l’adresse et les coordonnées

Cabinet dentaire des Drs Ferro et Gagossian - Chirurgiens-dentistes  5 (13)

Cabinet dentaire des Drs Ferro et Gagossian - Chirurgiens-dentistes

 Voir l’adresse et les coordonnées

Cabinet Dentaire Hazan, Principe, Karakoglou & Delgado  5 (48)

Cabinet Dentaire Hazan, Principe, Karakoglou & Delgado

 Voir l’adresse et les coordonnées

Dr Alix Devictor - Esthétique du sourire - Facette - Facettes pelliculaires - Implants dentaire - Greffe de gencive  5 (27)

Dr Alix Devictor - Esthétique du sourire - Facette - Facettes pelliculaires - Implants dentaire - Greffe de gencive

 Voir l’adresse et les coordonnées

Baille Dentaire  5 (8)

Baille Dentaire

 Voir l’adresse et les coordonnées

Centre Médical et Dentaire Marseille Le Merlan | Ophtalmologue et Allergologue - Dentylis  5 (2)

Centre Médical et Dentaire Marseille Le Merlan | Ophtalmologue et Allergologue - Dentylis

 Voir l’adresse et les coordonnées

Dr Jules CHÉREL  5 (7)

Dr Jules CHÉREL

 Voir l’adresse et les coordonnées

Cabinet dentaire du Dr Dumitru SPERCIUC  5 (4)

Cabinet dentaire du Dr Dumitru SPERCIUC

 Voir l’adresse et les coordonnées