Autres services demandés à Saint-Maur-des-Fossés : Dentiste
dentistenow.fr ne peut garantir que les dentistes ou professionnels inclus dans cet annuaire disposent de toutes les certifications professionnelles, accréditations légales ou exigences réglementaires nécessaires pour exercer la médecine dentaire dans chaque région. Certains praticiens inscrits peuvent être de petits cabinets ou de nouveaux professionnels. Nous vous recommandons de toujours vérifier l'expérience, le professionnalisme et les documents du dentiste ou du cabinet avant toute consultation, traitement ou intervention.

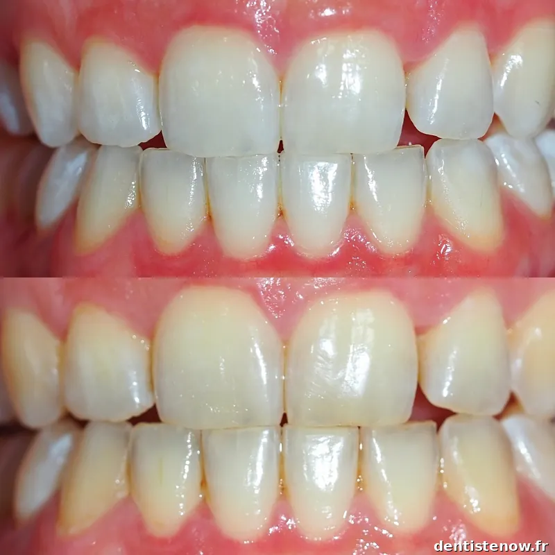
Cabinet spécialisé en parodontologie et implantologie orale.
Caractéristiques:
Entrée accessible en fauteuil roulant Toilettes accessibles en fauteuil roulant Toilettes Cartes de crédit Cartes de débit Paiements mobiles NFC Rendez-vous recommandésServices:
DentisteHeures d'ouverture:
Les horaires peuvent ne pas être à jour. Contactez Docteur Adrien OHAYON Parodontologie & Implantologie pour vous en assurer.
Ajoutez votre cabinet dentaire à notre annuaire gratuitement
Si vous dirigez un cabinet dentaire ou travaillez comme professionnel du secteur, vous pouvez rejoindre gratuitement notre annuaire spécialisé. Soumettez les informations de votre cabinet et faites partie d’un guide consulté chaque jour par des centaines d’utilisateurs cherchant des dentistes fiables pour leurs soins dentaires dans votre région.